
Healthy gums typically appear pink and are firm. However, changes in gum color, such as white gums, can indicate underlying oral health issues. If you notice pale gums or white gums around teeth, it’s essential to consult your dentist, as these changes, along with white gums meaning a potential problem, could signal various conditions. Dr. Reisman and Dr. Contrucci of C R Dental Group emphasize that while white gums in adults are often harmless initially, neglecting them can lead to more serious problems, including, in rare cases, oral cancer.
According to Medical News Today, several conditions can cause why are my gums white, including:
-
Leukoplakia: This condition, often linked to tobacco use, presents as white patches on the gums that cannot be removed by brushing. While usually benign, some leukoplakia patches can become precancerous. Treatment may involve antiviral drugs, laser removal, or cryotherapy.
-
Anemia: This condition, often resulting from iron or vitamin B12 deficiencies, Crohn’s disease, or celiac disease, can cause gums are white due to pale skin throughout the body. Accompanying symptoms include fatigue, weakness, cold extremities, and shortness of breath. Management typically involves dietary changes and vitamin supplements.
-
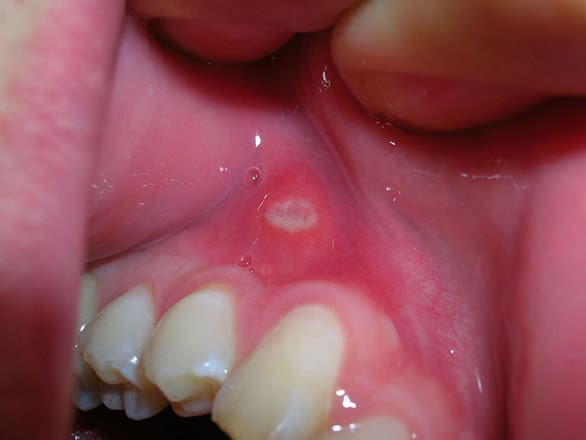
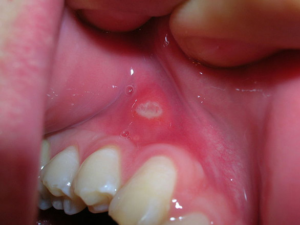
Canker sores: These painful, round or oval lesions can develop on the mouth or gums, making eating and speaking uncomfortable. Relief can be found through oral steroids, ointments, and salt water rinses.

-
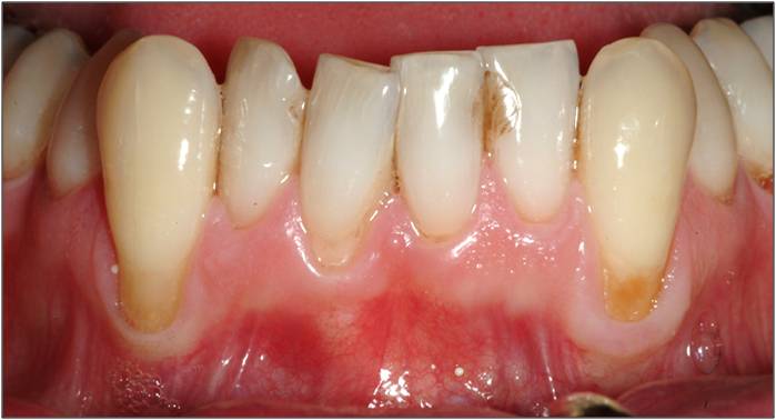
Gingivitis: This mild form of gum disease, commonly caused by poor oral hygiene, can lead to irritated, swollen, and receding gums. Maintaining good oral hygiene can prevent further periodontal problems.
-
Oral thrush: This yeast infection causes raised, creamy white sores (which can be confused with white gums if extensive) on the cheeks, tongue, or gums. Babies, older adults, and individuals with diabetes are at higher risk. Antifungal medication is typically prescribed.
-
Oral Cancer: The American Cancer Society reported that 51,000 Americans would be diagnosed with oral cancer in 2018. White gums can be a symptom of oral cancer, which can spread rapidly. Other warning signs include slow-healing mouth sores, growths or lumps, a persistent sore throat, and thickening of the mouth’s lining. If you experience gums are white and sore this could be a serious sign and you should seek medical attention immediately.
Regular dental checkups, including thorough oral cancer screenings, are crucial. You should see your dentist at least twice a year, or more frequently if you have periodontal disease. Discuss any concerns or unusual symptoms with your dentist or hygienist. Proactive oral health care can be life-saving. It is important to know what does white gums mean so you can take the necessary steps to protect your oral health.